
The information on this website is intended for informational purposes only and is not a substitute for medical, legal, or financial advice. Always consult a health provider, legal counsel, or financial professional if you have questions or concerns. The use of the information on this website does not create a physician-patient relationship between Surgency and you.
Surgency is a free resource for Canadian patients and caregivers. Private pathways Canadian physician in the public system to help you find the right surgeon for your needs.

As a family doctor in the public system, I believe transparency is a form of care. I created Surgency to help my patients struggling on long waitlists who wanted to understand all their options for timely medical attention.
Surgency is a free resource designed to empower and educate—helping you understand private pathways and find accredited surgeons within Canada. I hope Surgency brings you clarity.
Dr. Sean Haffey

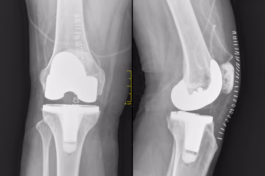
A primary knee replacement is the first time a surgeon replaces the damaged joint surfaces with metal and plastic parts.
A revision knee replacement means you’ve already had a knee replacement, but something has gone wrong or worn out, and the surgeon needs to repair, exchange, or replace some or all of the components.
Think of your knee replacement like a set of parts in a machine:
Revision can range from simpler to more complex:
Revision knee replacement is often more complex than a first-time replacement, and public surgical queues can be long. Private pathways can sometimes speed up assessment, imaging, and a surgical date—reducing months of pain and limited mobility.
Going private can let you:
You can get clarity on:
Many private pathways offer streamlined diagnostics and coordinated plans for anaesthesia, pain control, and physiotherapy, with virtual follow-ups if you live far away.
Revision cases vary a lot, so timing and steps depend on what needs fixing. Many revision procedures take 2–4+ hours of operating time (complex revisions can take longer). Expect additional time at the centre for check‑in, anaesthesia, and recovery.
Basic steps

Your clinic will provide a detailed recovery plan (physio, pain control, wound care, blood clot prevention, and follow-ups). Revision recovery can be slower than a first knee replacement, especially when bone loss, instability, or infection is involved. This is a general timeline, follow your surgeon's instructions.
Reality check: Pain, swelling, bruising, and low energy are common. Walking will feel awkward at first.
Goals: Pain control, swelling reduction, safe transfers, and early motion.
Activities: Short walks with a walker/crutches, basic exercises (quad activation, gentle bending/straightening), ice/elevation, wound care, and blood thinner plan (if prescribed).
Still tough, usually improving.
Goals: Better walking tolerance, improved knee straightening and bending, steady routine with physio.
Activities: Physio, daily exercises, gradual increase in walking distance. Many return to desk work with restrictions (timing varies).
The work phase.
Goals: Build strength, balance, and endurance; reduce reliance on walking aids when safe.
Activities: More challenging strengthening, stationary bike if cleared, longer walks, stair practice.
Long runway, real payoff.
Goals: Maximise function and confidence; return to preferred activities.
Activities: Continued strengthening and low-impact conditioning. Some symptoms (swelling, stiffness) can improve for many months.
Red flags—call your care team or seek urgent help
Exact pricing depends on what type of revision you need (liner exchange vs full revision vs staged infection), implant complexity, length of hospital stay, and where you have it done. Always ask for a written, itemized quote.
Typical range: $28,000 - $60,000+
Typical range: CA$42,600 - CA$100,000+
Prices vary widely by hospital, region, insurance status, and implant complexity.
What’s usually included
What’s often not included
Tips to compare quotes
Ask whether your quote is a global bundle. Request line items for: surgeon, facility, anaesthesia, implant costs, hospital stay/overnights, imaging, follow-ups, and what triggers extra charges.
Choosing your surgeon is a major benefit of pursuing private surgery. Revision knee replacement is more complex than a first knee replacement, so picking the right team matters.
Ask how many revision knee replacements they do each year (not just primary knee replacements).
Revision has a learning curve because it often involves:
Also ask about their case mix:
For more, read our guide: How to Understand Surgeon Credentials in Canada
A good revision surgeon won’t jump straight to “we’ll revise it.” They should carefully confirm why your knee is failing.
They should be comfortable assessing:
In many cases, a proper workup includes:
Request recent data (or at least typical rates) for their revision practice:
If they can’t share exact numbers, they should still be able to explain their safety systems and what they see most often.
Ask:
Revision outcomes depend heavily on how infection is detected and treated.
Ask:
Choose accredited centres (e.g., Accreditation Canada / CAAASF) with:
You want a written plan covering:
Ask for an itemized quote including:
Revision surgery is usually considered when:
Revision is not always the answer if the main problem is coming from another source (for example: hip arthritis, back nerve pain, or widespread pain conditions). A good surgeon will help confirm the true pain driver before recommending surgery.
Yes and no—you can reach out to any of the private surgeons listed on Surgency without a referral. Their intake teams are happy to answer questions, explain what they treat, share pricing ranges, and walk you through next steps.
However, to book a formal consultation with the surgeon, you'll typically need a referral from your family doctor or nurse practitioner. Don't have one? Many of the clinics can help coordinate a virtual GP appointment to get the referral paperwork sorted. All surgeons listed on Surgency offer virtual initial consultations, so you don't need to travel until you and the surgeon have agreed on a plan.
Before your consultation, expect the clinic to request relevant medical records and recent diagnostic imaging (X-ray, MRI, CT, ultrasound, lab work, etc.). Having these ready speeds up the process and lets the surgeon give you specific guidance on your very first call.
Your surgeon’s instructions come first—follow their plan if it differs.
Surgency is free for patients, funded for by surgeons.
Surgeons—who meet our listing criteria—pay a flat fee to list on the Surgency platform. To maintain objectivity, there are no commissions, referral fees, nor any ranking or recommending one surgeon over another.
Surgency is patient-first. Our goal is to make the process of finding a private surgeon as simple as possible. You choose who to contact. Learn more in our Advertising Policy.
Your personal risk depends on why you need revision (loosening vs infection vs instability), bone quality, how much has to be revised, and your overall health. Discuss your specific risks with your surgeon.
Your situation depends on the cause of failure and how quickly it is progressing.
If you still have questions, please feel free to contact us directly.
Please note: Surgency is not a clinic itself. Nor can we help with emergency situations, or provide personalized medical advice—that is between you and your surgeon. If you are experiencing acute or severe symptoms, please present to your local emergency department or urgent care centre.


Dual board-certified, dual fellowship-trained orthopaedic surgeon specializing in adult reconstruction (hip and knee arthroplasty) and orthopaedic trauma, with 14 years of experience.


Triple fellowship certified orthopedic surgeon specializing in hip & knee surgery, combining minimally invasive techniques and advanced robotic-assisted tech to help patients return to activity faster.


Fellowship-trained orthopaedic surgeon specializing in hip and knee replacement surgery, including minimally invasive direct anterior hip replacements & robotically assisted total knee replacements.